
距离第90届美国纽约口腔医疗展览会GNYDM开幕还有2天,来自中国的C-RootSP即将登上纽约,展示中国口腔材料技术的最新水平——世界新型硅酸锶生物陶瓷根管充填糊剂,迎八方来客,展“中国锶”之魅力。
C-Root是全球第一家硅酸锶生物陶瓷糊剂制造商。在全行业内首次把硅酸锶引入根管治疗,为医生和患者提供了一个无痛的新选择,让根管充填变得更舒适。新型硅酸锶生物陶瓷C-RootSP根管充填糊剂,凭借“流动性好、封闭性好、充填侧枝根管多、阻射性好、术后反应小、根尖周愈合快”等多项特色,取得了全球专利,一上市就得到国内权威专家和机构认可。

好产品不仅是中国的,更是世界的,为了让全球人们都能享受到科技给健康带来的力量,中国赛濡特计划在本次口腔医学展览会上,用金牌产品C-RootSP向全球口腔人展示中国口腔医学的技术发展水平,与业界同行交流学习,也期待与世界各国的口腔材料经销商建立良好的合作关系,让全球范围内的根管治疗患者用上质高价廉的C-RootSP,提高全球患者牙齿健康,帮助全球2500万根管病人是赛濡特人的梦想!
赛濡特C-RootSP上市一年多以来,在亚洲和美洲,已经有1万+口腔医生使用,惠及了超过30万+的根管充填患者,通过创新性新材料硅酸锶的独特功效——无痛、根尖周愈合快等特点,极大帮助了口腔医生解决牙髓治疗过程中:病人怕痛和治后愈合慢的问题。
赛濡特C-RootSP的颗粒比较细,能注入根管的所有空隙(包括细小侧枝根管),可以进入牙小管(直径2-5微米)进行再矿化,现成锶代羟基磷灰石,起到有效的封闭作用。

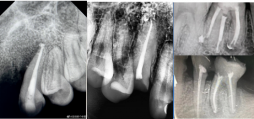
目前,赛濡特已收到数万个口腔医生成功完美的充填案例,有图有真相,图片是世界性的语言,专业医生一看就懂——
无与伦比的流动性C-RootSP充填很丝滑!

封闭性好:C-RootSP能进入牙本质小管内,生成羟基磷灰石,实现根管再矿化。
侧枝好充填,到达根管每一处微米根尖区域
生物相容性好,术后反应小,患者无感。

根尖周愈合快,充填长期效果显著。
赛濡特的发展历程:
1、2021年9月,C-RootSP获得中国国家药监局三类医疗器械证书;
2、2021年12月,C-RootSP获得美国FDA批准证书K212983,可出口香港、美国等全球大部分国家和地区;
3、2022年2月25日,赛濡特与中华口腔医学会一起,组织举办“新型根充材料根管充填病例报告会”,观众2万余人;
4、2022年5月21日,赛濡特邀请著名专家侯本祥教授,举办微博直播课“根管充填临床问题五人谈”,当晚观众达16万人次;
5、2022年7月18/20日,举办2场赛濡特杯“全国根管充填大赛”,线上观看人数一度超过43万人次,C-RootSP迎来众多优秀口腔医生的充填案例。
时至今日,步履不停!C-RootSP,致力于为世人提供高水平、创新性及舒适化的根管治疗方案,赛濡特将用新型硅酸锶C-RootSP生物陶瓷糊剂,提升全球人们的口腔健康水平,让人人都能体验到中国锶的魅力!
2022年11月27-31日,美国纽约GNYDM,咱们不见不散哦!
